Hufrehe - wenn jeder Schritt wehtut
- michael

- 30. Juni 2025
- 2 Min. Lesezeit
Aktualisiert: 9. Aug. 2025

HUFREHE | LAMINITIS | HUFLEDERHAUT-ENTZÜNDUNG
Hufbeinrotation, Hufbeinabsenkung, Ausschuhen – wer mit Hufrehe zu tun hat, weiß, wie dramatisch sich diese Begriffe anhören.
Für betroffene Pferde bedeuten sie Schmerzen, eingeschränkte Beweglichkeit und im schlimmsten Fall das Ende ihres Lebens.
Hufrehe (Laminitis, Pododermatitis) ist keine Bagatelle. Es handelt sich um eine Entzündung der Huflederhaut und des Hufbeinträgers (weiße Linie), die je nach Verlauf akute, chronische oder irreversible Schäden hinterlassen kann. Unbehandelt drohen Hufbeinrotation – auch seitlich –, Hufbeinabsenkung, Hufbeindurchbruch oder das gefürchtete Ausschuhen.
Ich habe in den letzten Jahren zahlreiche schwerste Rehefälle betreut, von akuten Schüben bis zu chronischen, jahrelang fehlbehandelten Zuständen. Viele Pferde, die als „austherapiert“ galten, laufen heute wieder schmerzfrei. Das ist nur möglich, wenn Ursache, Schweregrad und Hufsituation von Anfang an fachgerecht eingeschätzt werden.
Ursachen – und warum sie nicht alle gleich sind
Die Hufrehe lässt sich in mehrere Hauptformen einteilen:
Futterrehe: Überversorgung mit Stärke oder Zucker – besonders bei leichtfuttrigen Rassen. Oft verbunden mit EMS (Equines Metabolisches Syndrom) oder ECS (Cushing).
Belastungsrehe: Entsteht durch Über- oder Fehlbelastung, häufig nach Verletzungen, Stellungsproblemen oder unsachgemäßer Hufbearbeitung.
Toxische Rehe: Nach Vergiftungen oder hohen Medikamentendosen.
Geburtsrehe: Durch Nachgeburtsverhalten und der Komplikation einer Vergiftung.
Stressrehe: Durch hormonelle Reaktionen bei starkem Stress, Schmerzen oder Futterknappheit. Nimmt leider rasant zu!!
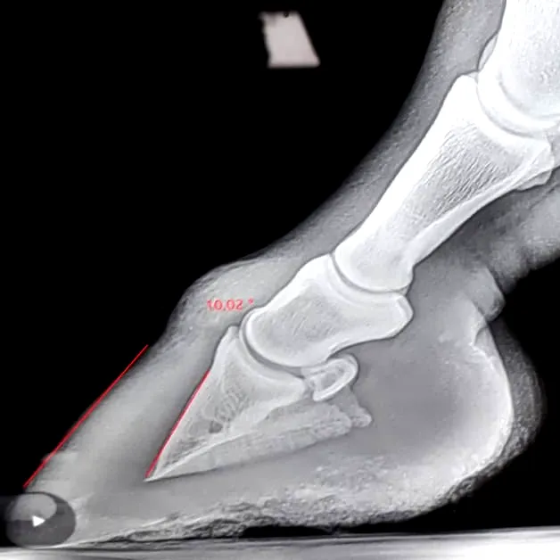
Warum Röntgen Pflicht ist
Nur eine Röntgendiagnostik zeigt eindeutig:
Ob eine Hufbeinrotation vorliegt
Ob eine Hufbeinabsenkung geschehen ist
Wie stark die Schädigung ist
Alles andere ist Spekulation – und kostet wertvolle Zeit, in der sich der Zustand rapide verschlechtern kann.
Komplikationen und Folgeschäden
Hutkrempe: Knochenwucherung am Hufbeinrand bei chronischer Belastungsrehe.
Osteolysen: Knochenabbau im Hufbein durch langanhaltende Entzündung.
Hufgeschwüre: Oft Folge der veränderten Durchblutung und des hohen Drucks.
Seitliche Hufbeinrotation: Führt zu asymmetrischer Belastung und dauerhaften Stellungsveränderungen und schädlichen Druckverhältnissen im Huf.
Hufbeindurchbruch & Ausschuhen: Akute Notfälle, meist bei massiver Gewebeschädigung.
Warum Abwarten gefährlich ist
Das oft angewandte Abwarten, in Verbände packen und Schmerzmittel geben verschlechtert meiner Erfahrung nach die Prognose und bedeutet für das Pferd weitere Schmerzen, die nicht sein müssten.
Während dieser Zeit:
verfestigt sich die Fehlstellung
wird das Hormonsystem unnötig durch Schmerz belastet
verschlechtert sich die Entzündungssituation
können Rotation und Absenkung fortschreiten
Frühe, fachgerechte Bearbeitung ist entscheidend, um mechanischen Zug zu reduzieren und die Heilungschancen zu maximieren.
Fazit
Hufrehe ist ein Wettlauf gegen die Zeit – und gegen die Entzündung im Inneren des Hufes. Mit der richtigen Strategie, fundierter Diagnostik und einer auf den Einzelfall abgestimmten Hufbearbeitung lassen sich selbst schwere Fälle stabilisieren.
Hat dein Pferd Hufrehe oder vermutest du eine Huflederhautentzündung?
Jede Stunde zählt. Lass den Zustand deines Pferdes professionell einschätzen, bevor sich die Situation verschlimmert.
📞 Schick mir direkt eine Nachricht – gemeinsam finden wir die beste Lösung für dein Pferd.
%20(16%20x%204%20cm)%20(6).png)












Kommentare